Пролог: настоящие ученые не изучают сознание
Поможет ли большая наука неточной науке?
Точная наука становится "большой наукой"13, когда начинает использовать очень дорогие измерительные приборы. Наука о мозге стала большой, когда в последней четверти XX века были разработаны томографы для сканирования мозга. Один такой томограф обычно стоит более миллиона фунтов стерлингов. Благодаря чистому везению, оказавшись в нужное время в нужном месте, я получил возможность пользоваться этими аппаратами, когда они еще только появились, в середине восьмидесятых.14 Первые такие аппараты были основаны на давно внедренном принципе рентгеноскопии. Рентгеновский аппарат может показать кости внутри вашего тела, потому что кости намного тверже (плотнее), чем кожа и мягкие ткани. Подобные различия плотности наблюдаются и в мозгу. Окружающий мозг череп обладает очень высокой плотностью, а плотность тканей самого мозга намного меньше. В глубине мозга находятся полости (желудочки), заполненные жидкостью, они обладают самой низкой плотностью. Прорыв в этой области произошел, когда была разработана технология аксиальной компьютерной томографии (АКТ) и был сконструирован АКТ-сканер. Этот аппарат использует рентгеновские лучи для измерения плотности, а затем решает огромное число уравнений (для чего требуется мощный компьютер) и строит трехмерное изображение мозга (или любой другой части тела), отражая различия в плотности. Такой прибор впервые позволил увидеть внутреннюю структуру мозга живого человека добровольного участника эксперимента.
13 "Большая наука" (big science) дорогостоящие научные исследования, в которых задействованы крупные научные коллективы (разговорный термин в современном английском). — Примеч. перев.
14 Решение Медицинского исследовательского совета закрыть Центр клинических исследований, в котором я в течение многих лет работал над проблемой шизофрении, побудило меня рискнуть и существенно изменить направление своих психологических исследований. Впоследствии и Медицинский исследовательский совет, и Трест Уэллкома проявили высокую степень дальновидности, оказывая финансовую поддержку новым исследованиям в области энцефалографии. — Примеч. авт.
Через несколько лет был разработан другой метод, еще лучше прежнего, магнитно-резонансная томография (МРТ). В МРТ используются не рентгеновские лучи, а радиоволны и очень сильное магнитное поле.15 В отличие от рентгеноскопии эта процедура совершенно не опасна для здоровья. МРТ-сканер намного чувствительнее к различиям плотности, чем АКТ-сканер. На изображениях мозга живого человека, получаемых с его помощью, различимы разные типы тканей. Качества таких изображений не ниже, чем качество фотографий мозга, после смерти извлеченного из черепа, законсервированного химикатами и нарезанного тонкими слоями.
15 Не подумайте, что я и правда понимаю, как работает МРТ, но вот один физик, который понимает: J.P. Hornak, The Basics of MRI ("Основы MPT"), http://www.cis.rit.edu/htbooks/mri/index.html. — Примеч. авт.

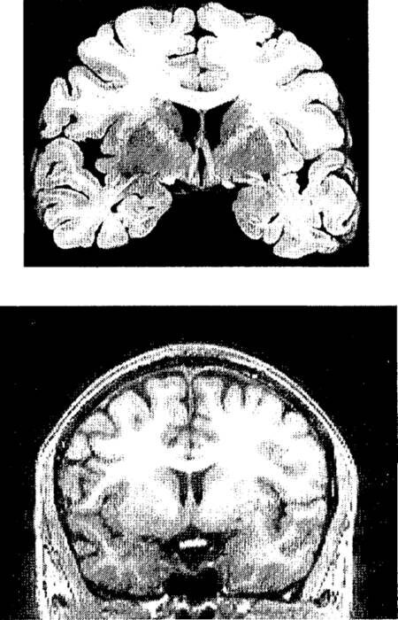
Рис. п.2. Пример полученного с помощью МРТ структурного изображения мозга и срез мозга, извлеченного из трупа.
Вверху фотография одного из срезов мозга, извлеченного из черепа после смерти и нарезанного тонкими слоями. Внизу изображение одного из слоев мозга живого человека, полученное методом магнитно-резонансной томографии (МРТ).
Структурная томография мозга сыграла огромную роль в развитии медицины. Мозговые травмы, полученные в результате дорожно-транспортных происшествий, инсультов или роста опухолей, могут самым серьезным образом сказываться на поведении. Они могут приводить к тяжелым формам потери памяти или серьезным изменениям личности. До появления компьютерных томографов единственный способ узнать, где именно произошла травма, состоял в том, чтобы снять крышку черепа и посмотреть. Обычно это делали уже после смерти, но иногда и у живого пациента когда требовалась нейрохирургическая операция. Теперь томографы позволяют точно определить местоположение травмы. Всё, что требуется от пациента, это минут 15 неподвижно пролежать внутри томографа.

Рис. п.3. Пример МРТ-скана, позволяющего выявить повреждение мозга.
Этот пациент перенес два инсульта подряд, в результате чего у него разрушились слуховые зоны коры правого и левого полушарий. Травма хорошо видна на изображении, полученном методом МРТ.
Структурная томография мозга это и точная, и большая наука. Измерения структурных параметров мозга, проводимые с помощью этих методов, могут быть очень точными и объективными. Но какое отношение имеют эти измерения к проблеме психологии как "неточной" науки?






![Советы детского психолога[подсказки для родителей], Чернова Татьяна](http://bookap.info/deti/chernova_sovety_detskogo_psihologapodskazki_dlya_roditeley/cover-large.jpg)



